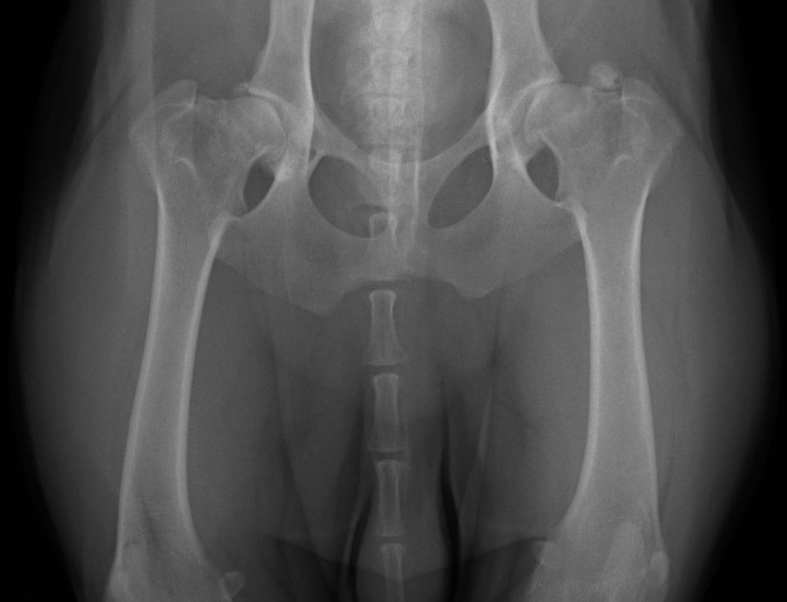
Treating Canine Hip Dysplasia

You just found out your dear doggy has been diagnosed with Hip dysplasia. You turn to the internet only to discover there is a lot of misinformation and not a lot of answers. Also known as Canine Hip Dysplasia (CHD), this disease occurs when a dog’s hips do not develop normally and the ball does not fit snugly into the socket, creating stress on the joint. The hip joint consists of a “ball” on the femoral bone, and a “socket” on the hip bone. Joint instability develops, causing damage to the cartilage, gradual destruction of the joint, pain and swelling.
Clinical signs of canine hip dysplasia generally develop by one year of age but in some dogs the symptoms become pronouced later in life as osteoarthritis gradually worsens. Thankfully, there are several successful treatments options for hip dysplasia that are available. CHD most often causes arthritis in the hips. If you want to know how to help canine hip dysplasia, we have you covered.

Learn about other topics in our Animal Wellness Blog
Although the odds that the ailments will become more severe over time, worry not, as there are some things you can do to treat the CHD. There are several different ways hip dysplasia can be treated in dogs.
There are several different ways hip dysplasia can be treated in dogs. Depending on how severe CHD is in your dog, the first and best option may be surgery. Surgery can be very effective as it corrects the underlying cause of hip pain which is a malformed joint. There are two different ways of doing the surgery. One is prophylactic surgery to prevent the progression of arthritis. The other is therapeutic surgery which aims to treat already arthritic hips. Talking to your vet is important as they will be able to give you recommendations for treatment and will be able to give you details of the surgery, if needed.
Another way to treat hip dysplasia is through non-surgical methods. This includes weight management, exercise, physical therapy, and the use of drugs to relieve pain and inflammation. For weight managment, ensure your dog has plenty of regular exercise. If your doggy is over weight athat will simply amplify and accerlate the issue. You may consider a helathy diet that is formulated with high Omega acids. Glucosamine and other holistic products may be helpful as well in cases of mild to moderate hip dysplasia. Glucosamine and other supplements can be very helpful but the best bet it to utilize them in conjunction with exercise as well as ensuring your pup has proper support.
To help your dog get the best rest possible, it’s a good idea to make sure your four-legged pal is sleeping on an orthopedic bed, such as BuddyRest. These beds are made specifically to help ease and soothe your dog’s pain. BuddyRest beds are veterinarian recommended dog beds made of high quality memory foam and bonded to support foam.

This luxury open cell memory foam is extremely durable, and doesn’t break down over time. BuddyRest dog beds conform to your animal's body and redistribute their weight evenly across the bed. This helps to improve blood flow and take stress off critical joints. By improving nutrient rich blood flow back into affected areas, you can see some dramtic mobility differences even when not on a bed. All of BuddyRest orthopedic dog beds promote joint health in younger dogs, as well as relieve painful pressure points in dogs with joint issues and dogs suffering from osteoarthritis and CHD. BuddyRest beds use the best science of support available to relieve arthritis pain in canines of every age and I am happy to recommend and support them. I strongly believe that these are the best bed for dogs with hip dysplasia.
Having your dog diagnosed with canine arthritis and/or Hip Dysplasia can be distressing to say the least. Keep in mind that most of the time it is very managable and does not usulaly require surgery. It is a good idea to address the support needs as well as ensure helathy diet and exercise to ensure a proactive approach to the issue.